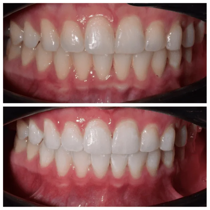
The Power of Zoom Whitening in Manhattan
In the bustling heart of New York City, a radiant smile can make all the difference. Zoom Whitening in Manhattan offers a fast, effective, and professional solution to brighten your teeth and boost your confidence. This innovative procedure uses a powerful bleaching agent activated by a special light to deliver dramatic results in a single visit to your dentist. It’s a popular choice for those seeking a quick and impactful cosmetic upgrade, making it a go-to treatment for anyone looking to enhance their smile in the city that never sleeps.
Benefit 1 Instant and Dramatic Results
One of the most significant advantages of Zoom Whitening is its ability to deliver immediate results. Unlike over-the-counter whitening products that require weeks of consistent use, Zoom Whitening can transform your smile in about an hour. This is particularly appealing for individuals who have a special event or simply want a brighter smile quickly. The results are often several shades lighter, offering a noticeable improvement in the overall appearance of your teeth and overall smile.
How Zoom Whitening Works

The process involves a professional-strength bleaching gel applied to the teeth. A specialized light is then used to activate the gel, accelerating the whitening process. The light helps to break down stains and discoloration deep within the enamel, resulting in a noticeably brighter smile. This method is far more effective than at-home treatments, providing a level of whitening that is difficult to achieve without professional assistance.
Maintaining Your White Smile
Following the procedure, your dentist will provide guidance on maintaining your newly whitened teeth. This typically involves avoiding foods and drinks that can stain teeth, such as coffee, tea, and red wine, for a certain period. Regular dental check-ups and cleanings, along with the use of whitening toothpaste, can help to extend the life of your bright smile. It is crucial to follow these guidelines to ensure the longevity of your treatment.
Benefit 2 Effective Stain Removal
Zoom Whitening is highly effective at removing various types of stains caused by food, drinks, and even aging. The powerful bleaching agent penetrates the enamel to break down and eliminate stubborn discolorations that other methods may not be able to address. This process can significantly improve the overall appearance of your teeth, leading to a more youthful and vibrant smile. The treatment is tailored to effectively target the source of the staining.
Types of Stains Addressed

Zoom Whitening is particularly effective against stains caused by coffee, tea, red wine, and tobacco. It can also address stains from certain medications and the natural aging process. The treatment’s ability to target a broad range of stains makes it a versatile solution for many patients seeking to improve their smile. Regular checkups will help the dentist to assess your stain issues and address them.
Dietary Considerations
After Zoom Whitening, it’s essential to be mindful of your diet to maintain the whitening results. Avoiding highly pigmented foods and drinks, such as berries, curries, and dark sauces, can help prevent new stains from forming. Your dentist will provide detailed dietary recommendations, including the use of a straw for drinks and the avoidance of smoking to maximize the longevity of your brighter smile.
Benefit 3 Safe and Professional Procedure
Zoom Whitening is a safe procedure when performed by a qualified dental professional. The process is carefully monitored to ensure the safety and comfort of the patient. The dentist will take steps to protect your gums and other soft tissues during the treatment. It is essential to choose a reputable dentist in Manhattan who has experience with Zoom Whitening to guarantee both effective results and a safe experience.
The Role of a Dentist

A dentist plays a crucial role in Zoom Whitening, ensuring the procedure is performed safely and effectively. They will assess your oral health, determine if Zoom Whitening is suitable for you, and customize the treatment to meet your specific needs. They will also provide guidance on pre- and post-treatment care, as well as addressing any concerns or questions you may have throughout the process. Choosing an experienced dentist in Manhattan can give you peace of mind.
Avoiding Sensitivity
Some individuals may experience temporary tooth sensitivity after Zoom Whitening. Your dentist can take measures to minimize this, such as using a desensitizing agent before the treatment or providing a fluoride treatment afterward. Following your dentist’s recommendations is crucial for minimizing any discomfort and ensuring a positive experience with the procedure. This is an important step in the treatment process.
Benefit 4 Boosts Confidence
A brighter smile can significantly boost your self-esteem and confidence. Zoom Whitening can help you feel more comfortable and confident in social situations, allowing you to smile freely without self-consciousness. This newfound confidence can have a positive impact on both your personal and professional life, making you feel more approachable and self-assured. A smile can be a powerful tool, and Zoom Whitening can help you optimize its impact.
The Psychological Impact

The psychological benefits of a brighter smile are substantial. Studies have shown that people with whiter teeth are often perceived as more attractive, successful, and friendly. Zoom Whitening can enhance your overall appearance and contribute to a more positive self-image. It can improve your mood, increase your social interactions, and boost your overall well-being.
Long-Term Smile Benefits
Beyond the immediate boost in confidence, Zoom Whitening can have long-term benefits. A brighter smile encourages better oral hygiene habits, as you’ll be motivated to maintain your results. Regularly visiting your dentist for check-ups and cleanings and following their recommended care plan will also lead to improved dental health overall. A whiter smile can provide sustained positive effects on your dental and overall health.
Benefit 5 Convenience
Zoom Whitening offers the ultimate in convenience for those seeking a quick smile makeover. The entire procedure can be completed in a single dental appointment, making it a hassle-free option for busy individuals. The process is simple and efficient, providing immediate results without the need for multiple visits or complicated at-home treatments. This makes Zoom Whitening an extremely accessible cosmetic solution.
Procedure Time

The Zoom Whitening procedure typically takes about an hour. During this time, the dentist will prepare your teeth, apply the whitening gel, and activate it with a special light. You can relax in the dental chair while the process unfolds. The quick turnaround makes Zoom Whitening an ideal choice for those with limited time but who are eager to improve their smile.
Post-Whitening Care
Following the procedure, your dentist will provide you with detailed instructions on how to care for your teeth. This includes avoiding stain-causing foods and drinks for a certain period, using a whitening toothpaste, and scheduling regular dental check-ups. Following these guidelines ensures the longevity of your results and helps you maintain a bright and healthy smile. This ensures a long term effective treatment.
Choosing the Right Manhattan Dentist for Zoom Whitening
Selecting the right dentist in Manhattan is essential for a successful Zoom Whitening experience. It’s important to find a dental professional with experience and expertise in this procedure. Researching the dentist’s credentials, reading patient reviews, and considering the cost of the treatment are all important steps in making an informed decision. The right dentist can provide you with the best results and a positive experience.
Factors to Consider

When choosing a dentist, consider their experience with Zoom Whitening, the technology they use, and their overall approach to patient care. Look for dentists who are committed to providing a comfortable and professional experience. Consider the location of their practice and the availability of appointment times. Ensure the dentist answers all of your questions and addresses your concerns about the procedure.
Checking Credentials
Verify the dentist’s credentials and ensure they are licensed to practice in New York. Check their professional affiliations and any special certifications related to cosmetic dentistry. This will give you peace of mind, knowing you are receiving treatment from a qualified and experienced professional. A dentist with good credentials shows they are committed to staying current in their field.
Reading Reviews
Patient reviews are a valuable resource when selecting a dentist. Read online reviews from other patients to gain insight into their experiences with the dentist and the Zoom Whitening procedure. Pay attention to comments about the dentist’s expertise, the quality of the results, and the overall patient experience. This can help you make a more informed decision about which dentist is right for you.
Cost and Financing Options
The cost of Zoom Whitening can vary depending on the dentist, the location, and any additional treatments that may be required. Discuss the cost and any available financing options with your dentist during your consultation. Some dentists offer payment plans or accept dental insurance. Knowing the full cost and available payment options upfront will help you manage your budget and make the best decision for your needs. Remember to ask about any hidden charges.
