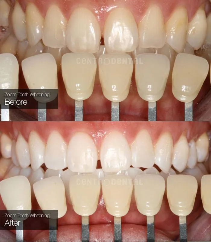
What is Zoom Teeth Whitening?
Zoom teeth whitening is a popular and effective in-office procedure designed to brighten and enhance the appearance of your smile. It utilizes a powerful bleaching agent, typically a hydrogen peroxide-based gel, activated by a specialized light. This combination works to break down stains and discoloration within the enamel of your teeth, resulting in a significantly whiter smile. The procedure is often completed in a single visit to the dentist’s office, making it a convenient option for those seeking immediate results. Zoom whitening is a preferred choice for individuals looking for a professional and rapid teeth-whitening solution, offering noticeable improvements in a relatively short timeframe. Understanding the process begins with knowing the science behind the treatment and how it works to achieve these remarkable results.
The Science Behind Zoom Whitening
The effectiveness of Zoom teeth whitening lies in a chemical reaction that occurs within the tooth enamel. The hydrogen peroxide in the whitening gel penetrates the enamel, breaking down the stain molecules that cause discoloration. These stain molecules are organic compounds that have been absorbed into the porous structure of the enamel over time. When the Zoom whitening lamp is used, it emits a specific wavelength of light that accelerates the breakdown of these stain molecules. This process doesn’t damage the enamel; instead, it gently lifts away the stains, revealing the natural whiteness of your teeth. The intensity and duration of the treatment are carefully controlled by the dentist to maximize whitening while minimizing any potential sensitivity.
How Zoom Whitening Works

The Zoom whitening process is a carefully orchestrated series of steps designed for optimal results. The procedure typically begins with the dentist isolating your teeth, protecting your gums and lips with special barriers. Then, the whitening gel is applied to the surface of your teeth. The Zoom lamp is positioned in front of your mouth, and it emits a blue light that activates the gel. The light accelerates the whitening process, causing the gel to break down the stains more rapidly. This cycle is repeated several times, each lasting about 15 minutes, to achieve the desired level of whiteness. The dentist monitors your progress throughout the treatment, ensuring your comfort and making any necessary adjustments.
Preparing for Your Zoom Whitening Session
Preparing for your Zoom teeth whitening session is crucial for ensuring a smooth and successful experience. Before the procedure, a thorough dental examination and cleaning are usually necessary. This helps to remove any surface stains and plaque, allowing the whitening gel to penetrate the enamel more effectively. Your dentist will also assess the health of your teeth and gums to determine if Zoom whitening is the right choice for you. If you have any existing dental work, such as fillings or crowns, your dentist will explain how these may react to the whitening process. Proper preparation enhances the whitening results and minimizes potential side effects, such as sensitivity.
Consultation with Your Dentist
The initial consultation with your dentist is a critical step in the Zoom whitening process. During this visit, your dentist will evaluate your oral health, discuss your expectations, and explain the procedure in detail. They will examine your teeth and gums, looking for any signs of decay, gum disease, or other issues that might impact the whitening process. Your dentist will also discuss your desired level of whiteness and determine if Zoom whitening is suitable for your specific needs. They may also take photos of your teeth to track your progress and provide before-and-after comparisons. This consultation ensures that you are well-informed and comfortable with the procedure before it begins.
Dental Cleaning Before Whitening

A professional dental cleaning before Zoom whitening is highly recommended. This cleaning removes plaque, tartar, and surface stains that can hinder the whitening process. The dentist or hygienist will use specialized instruments to gently clean your teeth and polish them. This pre-whitening cleaning ensures that the whitening gel comes into direct contact with the enamel, maximizing its effectiveness. By removing any barriers on the tooth surface, the whitening agent can penetrate more deeply, resulting in a more uniform and brighter smile. The cleaning also improves the overall health of your teeth and gums, contributing to a better outcome for the whitening procedure.
The Zoom Whitening Procedure
The Zoom whitening procedure is a relatively straightforward process performed by a trained dental professional. It involves several key steps designed to ensure the safety and effectiveness of the treatment. During the procedure, your dentist will take great care to protect your gums and soft tissues from the whitening agent. The entire process is usually completed within a single visit, making it a convenient option for those with busy schedules. The dentist will closely monitor your progress throughout the procedure, ensuring you are comfortable and that you achieve your desired results. Understanding the steps involved helps you feel more at ease and confident during your Zoom whitening experience.
Step 1 Applying the Whitening Gel
The first step in the Zoom whitening procedure involves the application of the whitening gel to your teeth. Your dentist will carefully apply a protective barrier to your gums and lips, ensuring that only your teeth are exposed to the whitening agent. The Zoom whitening gel, which contains a high concentration of hydrogen peroxide, is then applied to the surface of your teeth. This gel is specifically formulated to break down the stain molecules within your enamel. The dentist will apply the gel evenly to all visible teeth, ensuring comprehensive coverage for optimal whitening. The precision of this step is crucial for the overall effectiveness of the procedure.
Step 2 Using the Zoom Whitening Lamp

After the whitening gel is applied, the Zoom whitening lamp is used to activate the gel and accelerate the whitening process. The lamp emits a specific wavelength of blue light that interacts with the hydrogen peroxide in the gel. This interaction causes the gel to break down the stain molecules within your enamel more rapidly. The lamp is positioned in front of your mouth, and the light is focused on your teeth. The entire process is repeated in 15-minute intervals. During each cycle, the dentist monitors your teeth and makes adjustments as needed. This step significantly enhances the effectiveness of the whitening treatment, allowing for noticeable results in a short amount of time.
Step 3 The Whitening Process
The Zoom whitening process typically involves multiple cycles of applying the whitening gel and using the Zoom lamp. Each cycle lasts about 15 minutes, and the number of cycles depends on the desired level of whiteness and your teeth’s response to the treatment. During each cycle, the dentist monitors your teeth for any signs of sensitivity or irritation. The gel is reapplied after each cycle, and the lamp is used again to activate the whitening process. At the end of the procedure, the dentist will remove the gel, rinse your mouth, and provide post-whitening care instructions. This process is carefully controlled by the dentist to ensure safety and achieve the best possible results for your smile.
Post-Whitening Care and Maintenance
Following your Zoom teeth whitening procedure, proper care and maintenance are essential for preserving your new, brighter smile. This involves avoiding certain foods and drinks that can stain your teeth, as well as practicing good oral hygiene habits. Your dentist will provide detailed instructions on how to care for your teeth after the procedure. By following these guidelines, you can extend the life of your whitening results and maintain a beautiful smile for a long time. Proper post-whitening care will help you protect your investment and keep your teeth looking their best.
Foods and Drinks to Avoid

After Zoom whitening, it is crucial to avoid certain foods and drinks that can stain your teeth. For the first few days, your teeth are more porous and susceptible to staining. Foods and drinks high in color, such as coffee, tea, red wine, dark sodas, and berries, should be avoided. You should also avoid highly pigmented sauces and spices. Opting for white or clear foods and drinks, such as chicken, fish, rice, and water, can help protect your newly whitened teeth. Avoiding staining agents helps the whitening process to last. Following these dietary guidelines will help you maximize and prolong your whitening results.
Maintaining Your Bright Smile
Maintaining your bright smile after Zoom whitening involves a combination of good oral hygiene and regular dental check-ups. Brushing your teeth twice a day with a whitening toothpaste and flossing daily helps to remove plaque and prevent stains. Regular dental cleanings and check-ups are also essential for maintaining your bright smile. Your dentist can remove any surface stains and provide professional advice on how to keep your teeth looking their best. Consider using a whitening mouthwash to further enhance the results of the whitening treatment. Consistent care ensures your smile remains radiant and healthy.
Potential Side Effects of Zoom Whitening
While Zoom teeth whitening is generally safe, some potential side effects can occur. These side effects are usually temporary and mild, but it’s essential to be aware of them. The most common side effects are sensitivity and gum irritation. Your dentist will take precautions to minimize these effects, but it’s important to be prepared for them. The intensity and duration of side effects vary from person to person. Consulting your dentist and following post-treatment instructions can help manage any discomfort and ensure a positive experience.
Sensitivity and Discomfort

Tooth sensitivity is a common side effect of Zoom teeth whitening. During and after the procedure, your teeth may become temporarily sensitive to hot or cold temperatures. This sensitivity is usually mild and subsides within a few days. Your dentist may recommend using a desensitizing toothpaste to help alleviate the discomfort. Avoiding extremely hot or cold foods and drinks can also minimize sensitivity. If the sensitivity persists or becomes severe, contact your dentist for advice. Usually, sensitivity is short-lived and resolves on its own.
Gum Irritation
Gum irritation is another possible side effect of Zoom teeth whitening. The whitening gel may come into contact with your gums, causing temporary inflammation or irritation. Your dentist will take precautions, such as using protective barriers, to minimize this. If gum irritation occurs, it is usually mild and resolves within a few days. Rinsing your mouth with a saltwater solution can help soothe the irritated gums. Avoid brushing your gums aggressively, and contact your dentist if the irritation persists or worsens. Proper care will help to quickly heal any gum irritation.
Zoom Whitening: Is It Right for You?
Zoom teeth whitening can be a transformative procedure for those seeking a brighter smile. The process is safe, effective, and produces noticeable results. However, it is important to consider your individual needs and expectations before undergoing the procedure. Consult with your dentist to determine if Zoom whitening is the right choice for you. They can assess your oral health, discuss your desired outcomes, and explain the potential benefits and risks. With proper preparation, care, and maintenance, Zoom whitening can help you achieve a radiant, confident smile, enhancing your overall appearance. Ultimately, deciding on Zoom whitening involves understanding the process and consulting your dentist.
