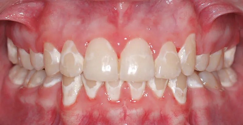
What are White Spots on Teeth?
White spots on teeth, often appearing as opaque, chalky patches, can be a cosmetic concern for many. These spots differ from the natural shade of the enamel and are typically more porous, leading to light scattering in a way that makes them stand out. They can range in size and prominence, from small flecks to larger, more noticeable areas across the tooth surface. Understanding the causes and potential treatments for these white spots is crucial for maintaining a bright, healthy smile and boosting your confidence. They are not always a sign of serious health issues but are a signal that something has affected the enamel development or integrity. Addressing these spots not only improves the aesthetic appearance of your teeth but can also prevent potential oral health problems down the line.
Understanding the Causes of White Spots on Teeth
Several factors can contribute to the formation of white spots on teeth, and identifying the root cause is the first step toward effective treatment. From developmental issues to environmental influences, a variety of circumstances can lead to these aesthetic concerns. These causes often affect the enamel, the hard, protective outer layer of the tooth. This section will explore some of the common reasons behind the appearance of these white spots, offering insights into how they develop and why certain individuals are more susceptible than others. Knowing the cause helps in choosing the most appropriate solutions and preventative strategies, safeguarding your teeth and improving the overall appearance of your smile.
Fluorosis and White Spots

Fluorosis is a common cause of white spots and is primarily due to excessive fluoride intake during the tooth development stage, typically in childhood. This can occur from swallowing too much fluoride toothpaste, consuming high levels of fluoride in drinking water, or from other fluoride-containing products. The severity of fluorosis varies, ranging from barely noticeable white flecks to more pronounced, brownish stains or pitting of the enamel. Mild cases might present with only subtle white spots, while more severe cases can result in significant cosmetic concerns. Managing fluoride intake, especially in children, is key to preventing fluorosis and maintaining healthy teeth.
Enamel Hypoplasia and White Spots
Enamel hypoplasia refers to the incomplete or defective formation of the enamel. This condition can result in white spots, pits, or grooves on the teeth. It can be caused by various factors during tooth development, including infections, malnutrition, trauma, or certain genetic conditions. Because enamel hypoplasia affects the structure of the tooth’s enamel, teeth affected by this condition may be more susceptible to cavities and other dental problems. Treatment options depend on the severity of the condition and can range from cosmetic procedures like teeth whitening or microabrasion to more extensive treatments such as fillings, crowns, or veneers, aimed at restoring both function and appearance.
Early Cavities and White Spots
Early-stage cavities often manifest as white spots on the teeth. This occurs because the enamel is beginning to demineralize due to acid attacks from bacteria. The white spots represent areas where the enamel has lost minerals, creating a porous surface that appears opaque. If detected early, these areas can often be remineralized through fluoride treatments and improved oral hygiene practices. However, if left untreated, these demineralized areas can progress into full-blown cavities. Regular dental check-ups and proper oral hygiene, including brushing with fluoride toothpaste and flossing, are crucial for preventing and managing these early signs of tooth decay, ensuring the health and longevity of your teeth.
Dietary Factors and White Spots

Dietary choices can significantly influence the formation of white spots on teeth. A diet high in sugar and carbohydrates contributes to the production of acids in the mouth, which can erode the enamel and lead to demineralization. Frequent consumption of acidic foods and beverages, like citrus fruits, sodas, and fruit juices, can also wear away the enamel. Nutritional deficiencies, such as a lack of calcium, phosphorus, and Vitamin D, during tooth development, can result in weakened enamel, making the teeth more susceptible to white spots. Maintaining a balanced diet, reducing sugar and acidic food intake, and ensuring adequate intake of essential nutrients are vital for strong, healthy teeth and preventing the appearance of white spots.
Solutions for White Spots on Teeth
Various treatments are available to address white spots on teeth, ranging from cosmetic procedures to preventive measures. The best approach depends on the cause and severity of the spots. Options include professional dental treatments and home remedies. In this section, we will examine the most effective solutions to help restore your smile and boost your confidence. It’s important to consult with a dentist to determine the most suitable treatment plan for your specific needs and dental health status. This proactive approach ensures optimal results and long-term oral health.
Professional Teeth Whitening and White Spots
Teeth whitening treatments can sometimes make white spots more noticeable initially because the surrounding enamel becomes brighter. However, professional whitening procedures can also help to even out the appearance of the teeth. Your dentist can apply a whitening agent that penetrates the enamel, reducing the contrast between the white spots and the surrounding teeth. This can create a more uniform look, making the spots less visible. In cases where white spots are prominent, dentists may recommend additional treatments after the whitening process to further improve the aesthetic outcome, such as microabrasion or resin infiltration.
Microabrasion for White Spots

Microabrasion is a minimally invasive technique used to remove superficial white spots. This procedure involves gently rubbing a mixture of abrasive material and hydrochloric acid on the tooth’s surface. This process removes a thin layer of enamel containing the white spots, blending the affected area with the surrounding tooth structure. It’s particularly effective for treating fluorosis-related white spots. The treatment typically requires one or two sessions and provides immediate aesthetic results. The dentist can then polish the teeth, leaving a smooth, uniform surface. Microabrasion offers a quick and effective solution for mild to moderate cases of white spots.
Enamel Micro-Remineralization Techniques
Enamel micro-remineralization techniques focus on restoring minerals to the enamel, effectively reversing early stages of tooth decay and minimizing the appearance of white spots. These techniques often involve the application of fluoride treatments, which help strengthen the enamel and protect against further demineralization. Other options include the use of products containing calcium phosphate, which aids in the remineralization process. Regular dental check-ups and consistent oral hygiene practices are essential for maximizing the benefits of remineralization treatments. In some cases, these treatments may be combined with cosmetic procedures to improve the overall aesthetic outcome of the teeth, leading to a healthier and brighter smile.
Home Remedies and Prevention
While professional treatments offer the most effective solutions, several home remedies and preventative measures can help manage white spots and improve your oral health. Proper oral hygiene habits are crucial for both preventing and treating white spots. This section provides practical tips and advice to integrate into your daily routine to protect your teeth and maintain a healthy, attractive smile. This includes daily brushing, flossing and dietary adjustments. By consistently following these guidelines, you can promote a brighter, healthier smile and boost your overall oral health.
Preventative Measures to Avoid White Spots

Preventing white spots involves a multifaceted approach. Maintaining good oral hygiene is essential. Brush your teeth twice a day with fluoride toothpaste. Floss daily to remove plaque and food particles from between your teeth. Limit your intake of sugary and acidic foods and drinks. Consider using a fluoride mouthwash to strengthen enamel. Ensure that children receive the appropriate amount of fluoride, as too much during tooth development can lead to fluorosis. Regular dental check-ups are also key, as dentists can detect and address early signs of white spots. By adopting these preventative measures, you can significantly reduce the risk of developing white spots and maintain a healthy, beautiful smile for years to come.
