Understanding Teeth Whitening and Fillings
Teeth whitening and dental fillings are two common aspects of dental care, often addressed separately, but they can intersect. Teeth whitening is a cosmetic procedure designed to lighten the shade of natural teeth, reducing stains and discoloration. Fillings, on the other hand, are used to repair cavities or replace damaged tooth structure. Understanding how these two interact is crucial for achieving the desired aesthetic outcome, especially when you have fillings. When considering teeth whitening, it’s essential to know that the whitening agents used in these procedures typically only affect natural tooth enamel. Fillings, which are made of materials like composite resin or amalgam, do not respond to whitening treatments in the same way, and the impact can be dramatic when you whitening your teeth.
How Fillings Affect Whitening
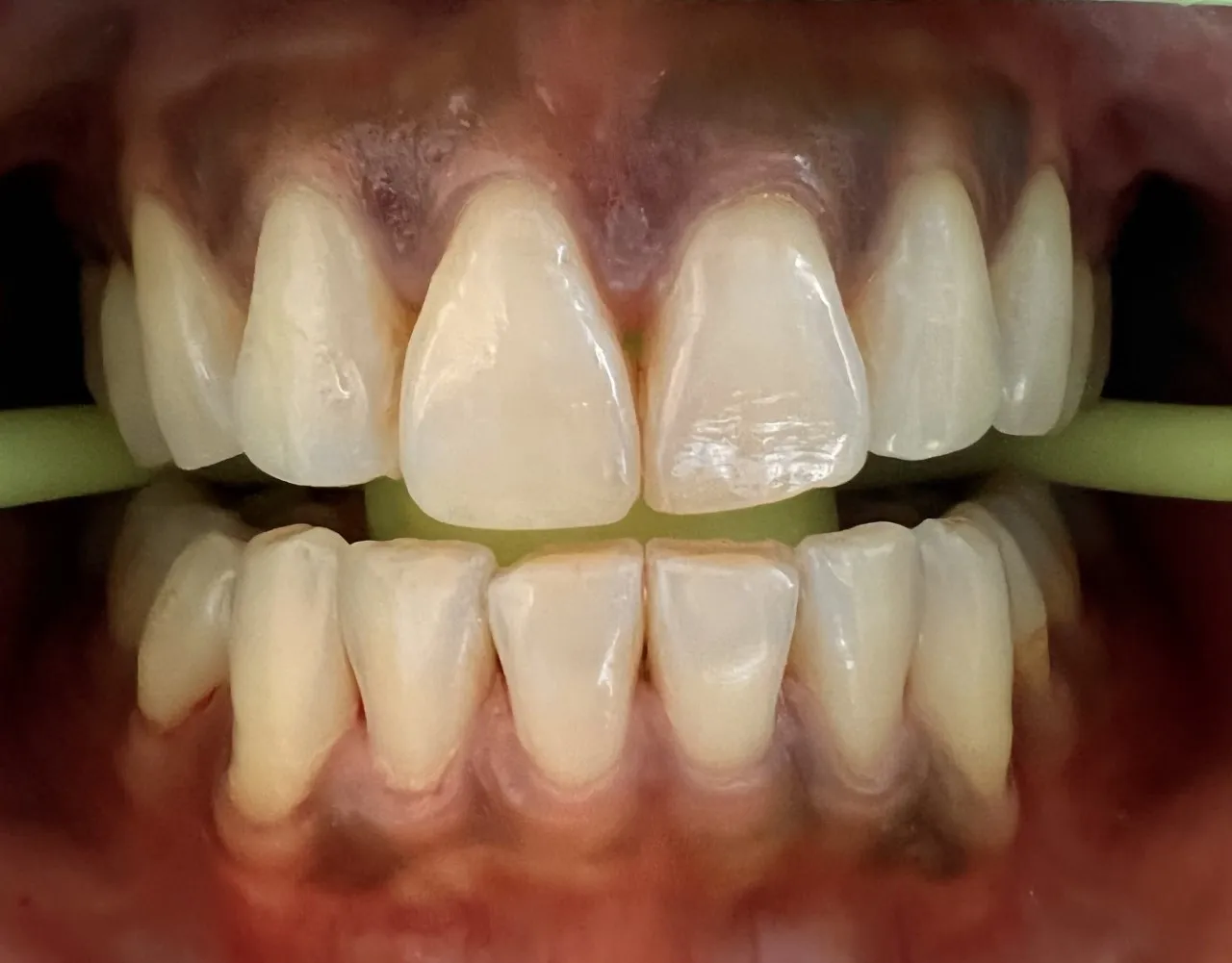
Fillings do not change color during teeth whitening. The whitening agents used in professional and at-home treatments, such as hydrogen peroxide or carbamide peroxide, penetrate the enamel and dentin, breaking down the stain molecules. However, these agents do not affect the color of the filling material. This means that after whitening, your natural teeth may appear lighter, while the fillings remain the same color, potentially creating a noticeable color difference. The contrast can be more pronounced if the fillings are on the front teeth or in a highly visible area of your mouth. Because of this difference, careful planning and consideration are needed to ensure a harmonious and aesthetically pleasing result when teeth whitening with fillings.
Types of Fillings and Their Impact

The type of filling material impacts the whitening process and the ultimate aesthetic result. Composite resin fillings, which are tooth-colored, are the most common type used for cosmetic purposes. These fillings are designed to match the shade of your natural teeth, but they don’t whiten. Amalgam fillings, a silver-colored material, do not whiten and are easily noticeable. Other materials, such as porcelain inlays or onlays, also won’t whiten. It is important to inform your dentist about all fillings you have before undergoing a teeth-whitening procedure. Your dentist will consider the location, material, and condition of your fillings to develop a treatment plan that meets your aesthetic goals and ensures the health of your teeth and gums. The type of filling directly influences the options and techniques your dentist will recommend for a successful outcome.
Whitening Options with Fillings
The presence of fillings influences the choice of teeth-whitening methods. It’s essential to discuss your options with your dentist to find the right approach. If you have fillings, your dentist will likely recommend a combination of procedures to achieve an even and aesthetically pleasing result. This could involve whitening your natural teeth first, followed by replacing or adjusting existing fillings to match the new, lighter shade. The goal is to create a seamless and natural appearance, eliminating any noticeable color discrepancies between your teeth and the fillings. Your dentist will consider the location of the fillings, the material they’re made of, and your overall aesthetic goals when planning your whitening treatment.
Professional Whitening Treatments
Professional teeth whitening, performed by a dentist, is generally the most effective way to whiten your teeth. Your dentist uses stronger whitening agents than those available in at-home kits. The procedure typically involves applying a high-concentration hydrogen peroxide gel to your teeth, often in combination with a special light or laser to enhance the whitening effect. Before starting, your dentist will protect your gums and soft tissues from the whitening agent. This ensures that the whitening treatment targets your teeth directly, while minimizing any potential irritation. Professional whitening provides more predictable results and can often achieve significant improvement in tooth shade in a single visit, making it a popular option for those with fillings.
At-Home Whitening Solutions

At-home whitening kits, available over-the-counter or prescribed by your dentist, offer a more convenient and often less expensive alternative to professional treatments. These kits typically include custom-fitted trays or strips filled with a lower concentration of whitening agent. While these options are less potent, they can still provide noticeable results with consistent use. The key is to follow the instructions carefully, and to be aware that the fillings will not whiten. Before using any at-home whitening product, consult with your dentist. They can assess the condition of your teeth and fillings and provide guidance to prevent any potential complications. Additionally, your dentist can often provide a prescription for a more potent at-home whitening kit.
Step-by-Step Guide to Teeth Whitening with Fillings
Whitening teeth with fillings requires a strategic approach. The process typically involves several steps, starting with a consultation with your dentist. Your dentist assesses your oral health and discusses your aesthetic goals. Following this, you’ll prepare for the whitening treatment, which may involve addressing any existing dental issues. The whitening procedure itself may be done in the dentist’s office, or at home, using a custom-fitted tray. Finally, aftercare and maintenance are crucial to preserving your new, brighter smile. Understanding each step will help you make informed decisions and achieve the best possible results. It’s essential to work closely with your dentist throughout the entire process to ensure the best outcome for your smile.
Consultation with Your Dentist
The initial consultation with your dentist is a crucial step in the process. Your dentist will examine your teeth, gums, and any existing fillings. They’ll assess your overall oral health to determine if you are a good candidate for teeth whitening. Your dentist will also discuss your expectations and goals to ensure that the treatment aligns with your aesthetic preferences. This consultation provides an opportunity to address any concerns and to understand the potential outcomes, including the impact of the fillings. Your dentist will also recommend the most appropriate whitening method based on your individual needs. By understanding your oral health and desired results, your dentist can create a personalized treatment plan to help you achieve a brighter, more confident smile.
Preparing for the Whitening Process

Preparing for teeth whitening involves several key steps. Your dentist may recommend a professional cleaning to remove plaque and surface stains. This cleaning will prepare your teeth for the whitening treatment and ensure the whitening agent can penetrate the enamel effectively. It’s also important to address any existing dental issues before whitening. Cavities should be treated, and any gum disease should be managed to ensure the best outcome and to prevent any sensitivity or complications. For those with fillings, the dentist will evaluate the color and condition of the fillings. They may recommend replacing existing fillings with new ones to match the lighter shade after the whitening. This is often the final stage, done after whitening your natural teeth. Proper preparation lays the foundation for successful teeth whitening.
Whitening Procedure and Aftercare
The whitening procedure varies depending on whether you opt for professional or at-home treatments. Professional whitening typically involves applying a high-concentration whitening gel to your teeth. A special light or laser may be used to activate the gel. The procedure is usually completed in a single visit. Aftercare is essential, and you’ll receive specific instructions from your dentist. With at-home treatments, you’ll use custom-fitted trays filled with a lower-concentration whitening agent. You’ll wear the trays for a specified amount of time, following your dentist’s instructions. After the whitening, you’ll need to avoid foods and drinks that can stain your teeth. Regular brushing, flossing, and dental check-ups will help maintain your brighter smile. Following the instructions will maximize the results.
Maintaining Your Whitened Smile with Fillings
Maintaining your newly whitened smile involves several strategies. This will help you keep your teeth bright and prevent the fillings from appearing more noticeable. Regular dental hygiene, including brushing twice a day and flossing daily, is crucial for removing surface stains and preventing discoloration. Regular professional cleanings will also help maintain your results. Avoiding stain-causing foods and drinks is another key strategy. This includes coffee, tea, red wine, and dark-colored foods. When you do consume these items, rinsing your mouth with water afterward can help minimize staining. Additionally, using a whitening toothpaste can help maintain your results and keep your smile looking its best.
Addressing Staining and Discoloration

Even with proper care, some staining and discoloration may occur. If you notice your teeth becoming dull, or if your fillings start to stand out, there are steps you can take. For surface stains, brushing with a whitening toothpaste can often help remove them. If the stains are more stubborn, your dentist may recommend a touch-up whitening treatment. It’s also important to consider that fillings don’t whiten, so if they are significantly different in color from your natural teeth, replacing or adjusting them can be an option. Your dentist can assess the situation and suggest the best course of action to restore your bright smile. Proactive management of any staining or discoloration will help you maintain your aesthetic outcome and prevent your fillings from being more noticeable.
Long-Term Care and Maintenance
Long-term care is essential for preserving your whitened smile and maintaining the appearance of your fillings. Schedule regular dental check-ups and cleanings every six months or as recommended by your dentist. During these visits, your dentist can assess your oral health and address any issues, such as new stains or the need for filling adjustments. Continue with your daily oral hygiene routine. Avoid smoking and excessive consumption of stain-causing foods and drinks. You might also consider using a whitening toothpaste or mouthwash to help maintain your results between professional treatments. By following these long-term care guidelines, you can enjoy a bright, confident smile for years to come. Consistent effort ensures that your teeth stay white, and your fillings blend seamlessly.
Potential Risks and Considerations
While teeth whitening is generally safe, there are potential risks and considerations. It’s important to be aware of these factors to make informed decisions. One of the most common side effects is tooth sensitivity, which can be temporary. Some individuals may experience gum irritation. Additionally, the whitening process may not be suitable for everyone. Pregnant or breastfeeding women, children, and individuals with certain dental conditions should consult with their dentist. If you have multiple fillings, the color difference between the whitened teeth and the fillings can be a cosmetic concern. Careful planning and consultation with your dentist are essential to mitigate these potential risks. By understanding the potential issues, you can make an informed decision about teeth whitening.
Sensitivity and Discomfort

Tooth sensitivity and discomfort are common side effects of teeth whitening. The whitening agents can penetrate the enamel and dentin, affecting the nerve endings in your teeth. This can lead to temporary sensitivity to hot or cold temperatures. Gum irritation may also occur, especially if the whitening agent comes into contact with the soft tissues. Your dentist can provide desensitizing toothpaste or other products to help manage this sensitivity. You may also be advised to avoid extremely hot or cold foods and drinks during treatment. Most often, these side effects are temporary and resolve within a few days or weeks after the whitening procedure. It’s important to follow your dentist’s instructions and to communicate any concerns you have to your dentist during the process.
Alternatives to Whitening with Fillings
If teeth whitening isn’t the best option, there are alternative solutions to improve the appearance of your teeth. Veneers are thin, custom-made shells that are bonded to the front of your teeth. They can address discoloration, gaps, and other imperfections, and they also cover the fillings. Another alternative is dental bonding, which involves applying a tooth-colored resin to the teeth. This resin is then shaped and polished to match the surrounding teeth. Your dentist may also recommend replacing existing fillings with newer, tooth-colored materials. The best alternative depends on your specific needs and aesthetic goals, so it’s important to discuss these options with your dentist. Your dentist can help you select a treatment that best suits your needs. These alternatives will help you get the ideal smile.
In conclusion, teeth whitening with fillings requires careful planning and consideration. The key is to understand how fillings affect the whitening process and to work closely with your dentist to achieve the best possible results. By following this guide, you’ll have a better understanding of the process, the potential risks and considerations, and the steps needed to maintain a bright, beautiful smile. Regular dental care, proper oral hygiene, and adherence to your dentist’s recommendations will help you achieve and maintain your desired aesthetic outcome.
