What Causes Teeth Whitening Pain?
Teeth whitening, while a popular cosmetic procedure, can sometimes lead to discomfort. Understanding the root causes of this pain is the first step in finding effective relief. The primary culprit is often the bleaching agent, typically hydrogen peroxide or carbamide peroxide, used in the whitening process. These chemicals penetrate the enamel to break down stain molecules, but in doing so, they can also irritate the nerves within the teeth and gums. This irritation manifests as sensitivity, often described as sharp, shooting pains or a dull ache, particularly when exposed to hot, cold, sweet, or acidic foods and drinks. The intensity of the pain varies based on several factors, including the concentration of the whitening agent, the duration of the treatment, and the individual’s inherent tooth sensitivity. Certain individuals may naturally have more porous enamel or thinner dentin, the layer beneath the enamel, making them more prone to sensitivity. This underscores the importance of knowing how to navigate the discomfort for a positive whitening experience.
Sensitivity from Whitening
Sensitivity is the most common side effect of teeth whitening. It occurs because the whitening agents can pass through the enamel and reach the dentin, which contains tiny tubules that lead to the nerves in the tooth’s pulp. This can lead to the commonly reported sharp, zinging pain that many people experience. The degree of sensitivity varies, with some experiencing only mild discomfort, while others feel significant pain that can last for several hours or even days. The use of high-concentration whitening products, whether in-office treatments or at-home kits, tends to cause more intense sensitivity. This highlights the importance of following the instructions carefully and considering the potential for sensitivity when selecting a whitening method. Additionally, pre-existing conditions like cavities, cracks, or receding gums can exacerbate the problem. For those particularly prone to sensitivity, it’s essential to discuss preventative measures with a dentist before starting any whitening treatment.
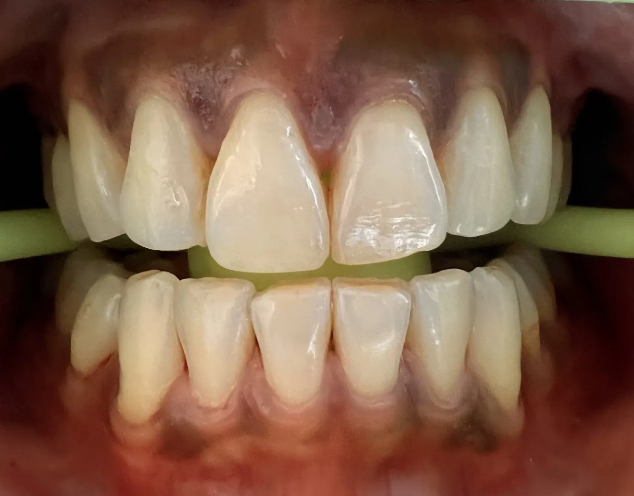
Gum Irritation After Whitening

In addition to tooth sensitivity, gum irritation is another potential side effect of teeth whitening. This can manifest as redness, swelling, and tenderness along the gum line. The bleaching agents, if they come into contact with the soft tissues of the gums, can cause irritation and even chemical burns. This is more likely to occur with at-home whitening kits if the trays do not fit properly or if the whitening gel leaks out. Similarly, in-office treatments require careful application to protect the gums from the bleaching agent. Poor oral hygiene can increase the risk of gum irritation, as can pre-existing gum conditions. If you experience significant gum irritation, it is vital to consult with a dentist to ensure proper care. This often includes the use of anti-inflammatory mouthwashes and possibly a temporary adjustment to your whitening schedule. The goal is to alleviate the irritation and promote healing while still achieving the desired whitening results.
Top 5 Methods for Teeth Whitening Pain Relief
Over-the-Counter Pain Relievers
One of the quickest ways to find relief from teeth whitening pain is by using over-the-counter pain relievers. Options such as ibuprofen (Advil, Motrin) and acetaminophen (Tylenol) are effective in managing mild to moderate pain and can help reduce inflammation. For the best results, take the medication as directed on the packaging and avoid exceeding the recommended dosage. However, it’s important to note that pain relievers only offer temporary relief and don’t address the underlying cause of the sensitivity. Always consult with your dentist if the pain is severe or if over-the-counter medications don’t provide sufficient relief. They may recommend stronger pain relief or investigate any underlying dental issues that might be contributing to the pain. Additionally, those with existing medical conditions or who are taking other medications should consult with their doctor before taking any new pain relievers.
Desensitizing Toothpaste

Desensitizing toothpaste is another effective method for relieving pain associated with teeth whitening. These toothpastes contain ingredients like potassium nitrate or stannous fluoride, which work to block the tubules in the dentin, preventing pain signals from reaching the nerve. Regular use, typically for a couple of weeks, can significantly reduce sensitivity. For best results, apply a small amount of the toothpaste directly to the sensitive areas of your teeth before bed. This allows the active ingredients to work overnight. It’s crucial to be patient, as it can take some time for the toothpaste to take full effect. Also, make sure to select a toothpaste designed specifically for sensitivity. It’s a good idea to consult your dentist for specific recommendations, as they can advise on the best products based on your individual needs. Consistent use of desensitizing toothpaste, combined with other pain-relieving methods, can lead to more comfortable whitening experience.
Fluoride Treatments
Fluoride treatments, provided by a dentist, can strengthen tooth enamel and reduce sensitivity. Fluoride works by remineralizing the enamel, making it more resistant to the effects of the whitening agents. Professional fluoride treatments are usually more concentrated than those found in toothpaste or mouthwash and can provide quicker relief. Your dentist may apply a fluoride varnish or use a custom tray to administer the fluoride, depending on your needs. These treatments can be very effective in reducing sensitivity and preventing further discomfort. In addition to professional treatments, your dentist might recommend using a prescription-strength fluoride toothpaste at home. This can further enhance the protective effects of the fluoride. Regular dental check-ups and fluoride treatments are particularly important for individuals undergoing teeth whitening to minimize potential pain and maintain optimal oral health. Remember to discuss with your dentist the best fluoride options based on your particular situation.
Soft Diet and Avoiding Irritants
Making dietary adjustments can significantly help in managing teeth whitening pain. After a whitening treatment, it’s important to follow a soft diet and avoid foods and drinks that can irritate sensitive teeth. This includes very hot or cold foods, acidic items like citrus fruits and tomatoes, and sugary treats. These items can exacerbate sensitivity and worsen the pain. Focus on consuming foods like yogurt, bananas, cooked vegetables, and smoothies. Using a straw when drinking beverages, especially those that are acidic or sugary, can minimize contact with your teeth. Avoiding these irritants allows the enamel to recover and reduces the chance of triggering pain. It’s also wise to avoid smoking and chewing tobacco, as these can irritate the gums and teeth, increasing sensitivity. Following a soft diet and avoiding irritants are simple yet effective steps to provide comfort during and after teeth whitening.
Professional Dental Care

If you experience significant or persistent pain after teeth whitening, seeking professional dental care is essential. Your dentist can identify the underlying cause of the pain and provide tailored treatments. This may include adjusting your whitening plan, prescribing stronger pain relievers, or applying desensitizing agents directly to your teeth. The dentist can also check for other issues, such as cavities or gum disease, that might be contributing to the discomfort. In some cases, your dentist may recommend delaying or modifying your whitening treatment. During a professional consultation, the dentist can assess the health of your teeth and gums, and provide recommendations to help you achieve the desired whitening results while minimizing pain and discomfort. Regular dental check-ups, before and after whitening, are very important for maintaining the health and appearance of your smile.
Preventing Teeth Whitening Pain
Choosing the Right Whitening Method
Selecting the appropriate teeth whitening method is a crucial step in minimizing the risk of pain and sensitivity. Different methods use varying concentrations of bleaching agents, and this can affect the intensity of the side effects. In-office whitening treatments, which use higher concentrations of hydrogen peroxide, tend to cause more sensitivity compared to at-home kits. If you have sensitive teeth, it may be better to opt for a lower-concentration product or a treatment that allows for more control over the application duration. Consider consulting your dentist about your sensitivity before deciding on a whitening method. They can recommend a suitable option based on your teeth’s condition and your whitening goals. Alternatives to consider include whitening toothpastes, strips, and custom-fitted trays with lower-concentration gels. Gradual whitening, where you whiten your teeth over a longer period, often leads to less pain than aggressive whitening. The right choice will balance your desire for a whiter smile with your comfort level and dental health.
Proper Application Techniques

Correct application techniques are key to minimizing pain during teeth whitening. When using at-home kits, it’s crucial to follow the instructions provided by your dentist or the product manufacturer carefully. Overfilling the trays can cause the whitening gel to leak onto your gums, leading to irritation. Make sure that the trays fit your teeth correctly, which may require custom-fitted trays from your dentist. If you are undergoing in-office treatment, the dentist will take steps to protect your gums, like applying a protective barrier before applying the whitening agent. It’s crucial to pay attention to the recommended treatment time. Leaving the whitening product on your teeth for too long can increase the likelihood of sensitivity. Be mindful of any recommendations to avoid certain foods or drinks during the treatment period. Consistently following these guidelines ensures you get the best results with the least amount of discomfort. When in doubt, always consult your dentist or hygienist.
Maintaining Healthy Teeth and Gums
Maintaining optimal oral health is the best preventive measure against teeth whitening pain. Healthy teeth and gums are less prone to sensitivity. This starts with a regular oral hygiene routine that includes brushing twice a day with fluoride toothpaste and flossing daily. Regular dental check-ups and professional cleanings are also critical for removing plaque and tartar, which can contribute to gum disease. If you have any existing dental issues, such as cavities or gum inflammation, it’s essential to address these problems before starting any whitening treatment. Your dentist can help you develop a personalized oral care plan. A healthy lifestyle, including a balanced diet and avoiding tobacco products, plays a vital role in maintaining the health of your teeth and gums. Prioritizing oral health reduces the risk of experiencing pain and complications from teeth whitening, and improves the overall aesthetic appeal of your smile. This focus on prevention underscores the importance of a holistic approach to dental care.
When to See a Dentist
Knowing when to seek professional dental care is vital if you experience pain after teeth whitening. If the pain is severe, persistent, or doesn’t improve with over-the-counter remedies, it’s time to consult your dentist. Other signs indicating you need professional help include severe gum irritation, bleeding, or any unusual changes in your gums or teeth. If the sensitivity interferes with your ability to eat, drink, or perform daily activities, seek immediate attention. Your dentist can evaluate your condition, identify the underlying cause of the pain, and provide appropriate treatment. This may involve prescribing stronger pain relief, adjusting your whitening plan, or addressing any dental issues that contribute to the sensitivity. Waiting too long to seek help could lead to more severe complications. Therefore, any time you have significant discomfort, don’t hesitate to schedule an appointment with your dentist. Your dentist is best equipped to ensure your oral health and the success of your teeth whitening process.
In conclusion, while teeth whitening can provide a brighter, more attractive smile, it’s essential to manage and relieve any pain you may experience. By understanding the causes of pain, using effective relief methods, and taking preventative measures, you can enjoy a more comfortable teeth whitening experience. Consulting with your dentist is crucial throughout this process to ensure optimal results and maintain your oral health. Remember that your oral health is important, and a healthy smile is within reach with the right care and attention.
