Top 5 Benefits of Teeth Whitening in Meridian
Are you considering teeth whitening in Meridian? A brighter smile can significantly impact your appearance and overall well-being. Beyond just aesthetics, professional teeth whitening offers a multitude of benefits that can enhance your confidence, improve your oral health, and provide you with a reason to smile more often. This guide explores the top 5 benefits of teeth whitening, helping you understand why it’s a worthwhile investment in your smile. From boosting your self-esteem to contributing to better dental health, discover how teeth whitening can transform your life. Teeth whitening is one of the most sought after cosmetic dental procedures, and for good reason. With a simple, quick procedure, you can dramatically change your look and feel better about your smile. In Meridian, Idaho, several dental offices specialize in teeth whitening, using the latest technology to deliver the best results.
Enhanced Confidence & Self-Esteem
One of the most immediate benefits of teeth whitening is a boost in confidence and self-esteem. A brighter, more attractive smile can make you feel more self-assured in social and professional settings. When you’re proud of your smile, you’re more likely to smile more often, which can have a positive impact on your interactions with others. Smiling is contagious and can make you feel happier, reducing stress and improving overall mental health. If you feel self-conscious about the shade of your teeth, teeth whitening can be a life-changing procedure. It is a great way to achieve the beautiful smile you’ve always dreamed of.
How Teeth Whitening Boosts Confidence

A brighter smile is often perceived as more youthful, healthy, and attractive. This perception can lead to increased self-esteem and a greater willingness to engage in social activities. People with whiter teeth tend to feel more comfortable in their own skin, allowing them to present themselves confidently in various situations. Confidence can lead to better communication skills, a more positive outlook on life, and increased success in both personal and professional endeavors. Teeth whitening is, therefore, about more than just aesthetics; it’s about empowering yourself with a brighter, more confident smile. It is the initial step to self-improvement, and many patients find that it improves their overall quality of life.
The Psychological Impact of a Bright Smile
The psychological impact of a bright smile extends beyond mere aesthetics. Studies have shown that smiling releases endorphins, natural mood boosters that can reduce stress and promote feelings of happiness and well-being. When you feel good about your smile, you’re more likely to smile more often, creating a positive feedback loop that enhances your emotional state. This positive outlook can translate into better relationships, increased productivity, and a greater sense of overall satisfaction with life. A brighter smile can also make you feel more approachable and friendly, leading to improved social interactions and a stronger sense of connection with others. A healthy and beautiful smile can have a profound impact on mental health.
Improved Appearance & Aesthetics
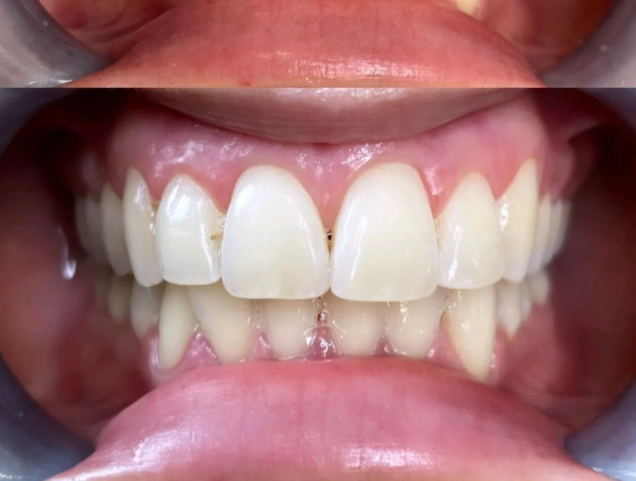
Teeth whitening is a highly effective cosmetic procedure for improving your overall appearance. A brighter smile can instantly make you look younger, healthier, and more attractive. Stained or discolored teeth can make you appear older and can detract from your overall appearance. Whitening treatments can counteract these effects, giving you a more vibrant and youthful look. This improvement in appearance can boost self-esteem, making you feel better about yourself and more confident in social situations. Enhanced aesthetics are one of the most immediate and noticeable benefits of teeth whitening, giving you a reason to smile and feel good about your appearance. Teeth whitening can take years off your appearance, providing a natural, healthy glow.
The Visual Benefits of Teeth Whitening

The visual benefits of teeth whitening are undeniable. Whiter teeth create a more polished and attractive look, enhancing your overall facial aesthetics. A bright smile can make your face appear more symmetrical and can draw attention to your eyes, making you appear more approachable and friendly. The contrast between white teeth and your skin tone can also make your complexion appear brighter and healthier. The visual impact of teeth whitening goes beyond just aesthetics; it can significantly boost your self-perception and how others perceive you. A brighter smile makes a lasting impression, increasing your confidence and improving your overall image. Many people make assumptions about others based on their teeth, so taking the time to whiten them can be a worthwhile investment.
Comparing Teeth Whitening Results
Comparing the results of teeth whitening can help you understand the potential transformations. Before-and-after photos often reveal dramatic improvements, showcasing the ability of whitening treatments to remove stains and brighten your smile. The results can vary depending on the type of treatment, the severity of the staining, and individual tooth characteristics. Professional treatments, such as those offered in Meridian, typically provide more significant and lasting results than over-the-counter products. Seeing these comparisons can give you a realistic expectation of what you can achieve with teeth whitening. You can discuss your expectations with your dentist to ensure your satisfaction with the outcome. Keep in mind that regular maintenance is essential to keep the brightness.
Reduced Staining & Discoloration
Teeth whitening effectively reduces staining and discoloration caused by various factors. Over time, teeth can become stained from consuming coffee, tea, red wine, and other darkly pigmented foods and drinks. Smoking and the use of tobacco products can also cause significant discoloration. Whitening treatments use powerful agents to break down these stains, restoring your teeth to their natural brightness. This removal of stains not only improves the appearance of your teeth but also helps to maintain better oral hygiene. By removing stains, teeth whitening can help to prevent further discoloration and maintain the health of your enamel. The outcome of removing stains is a brighter, more youthful smile, which adds to your self-confidence. There are many options for the removal of stains, so be sure to consult your dentist.
Causes of Tooth Discoloration

Tooth discoloration can result from several causes, including dietary habits, lifestyle choices, and aging. The consumption of highly pigmented foods and drinks, such as coffee, tea, and red wine, can gradually stain the enamel. Smoking and tobacco use are also major contributors to tooth discoloration, leading to yellow or brown stains. Aging naturally causes teeth to darken as the enamel wears down, and the dentin (the layer beneath the enamel) becomes more visible. Certain medications and medical conditions can also cause discoloration. Understanding the underlying causes of discoloration can help you take preventive measures, such as modifying your diet or quitting smoking. Knowledge of the causes is the first step in fixing the issue and creating a great smile.
How Whitening Procedures Combat Stains
Whitening procedures use various methods to combat stains and restore your teeth’s natural brightness. Professional treatments, such as in-office whitening, use powerful bleaching agents to penetrate the enamel and break down the stains. These treatments are highly effective and can produce dramatic results in a short amount of time. At-home whitening kits often use a lower concentration of bleaching agents, offering a more gradual approach to whitening. These kits involve custom-fitted trays and whitening gels, allowing you to whiten your teeth in the comfort of your home. Whitening toothpastes and mouthwashes can also help to remove surface stains and maintain the brightness of your teeth. Consult your dentist for the right treatment options.
Affordable & Accessible Options
Teeth whitening has become increasingly affordable and accessible, making it a viable option for many people. The cost of teeth whitening varies depending on the type of treatment, with professional in-office treatments typically being more expensive than at-home kits. However, the results are often more dramatic and long-lasting. Many dental practices in Meridian offer financing options and payment plans, making it easier to fit teeth whitening into your budget. Over-the-counter whitening products, such as whitening strips and toothpastes, are even more affordable. Accessibility is also a significant factor, with numerous dental clinics and cosmetic dentists in Meridian providing teeth whitening services. Consider all options when thinking about your budget and needs.
Cost-Effectiveness of Teeth Whitening

Teeth whitening offers excellent value for the investment. The cost-effectiveness of teeth whitening is often measured by the long-term benefits it provides. A brighter smile can boost confidence, leading to improved social interactions and professional opportunities. The psychological benefits, such as reduced stress and increased happiness, also contribute to the overall value. When compared to other cosmetic procedures, teeth whitening is a relatively affordable option with significant impact. In considering the cost, it’s important to factor in the longevity of the results and the ongoing maintenance required. Professional treatments often provide longer-lasting results, reducing the need for frequent touch-ups. Teeth whitening is also a good investment for your health.
Financing and Payment Options
Many dental practices offer flexible financing and payment options for teeth whitening. These options can make the procedure more accessible and manageable. Payment plans allow you to spread the cost of treatment over time, making it easier to fit into your budget. Some practices also accept various forms of payment, including credit cards and insurance. Check with your dental provider to understand the available options and how they can tailor a payment plan to meet your needs. There are also options for patients with little or no insurance coverage. Make sure to consult your provider for the best financial plan for you.
Professional Dental Health Benefits
Teeth whitening offers professional dental health benefits, particularly when performed under the supervision of a dentist. Regular dental checkups are essential to ensure your teeth and gums are healthy and can help to identify potential issues early on. Many whitening procedures also include a professional cleaning, which removes plaque and tartar buildup. This can improve the overall health of your gums and teeth, reducing the risk of gum disease and cavities. Consulting with a dentist also ensures the whitening treatment is safe and effective, considering your individual oral health needs. Teeth whitening helps promote better oral hygiene and overall dental health, leading to a brighter and healthier smile. Your dentist is a great resource for understanding what is best for your dental needs.
The Role of Whitening in Overall Oral Care

Teeth whitening plays a significant role in overall oral care, contributing to both aesthetics and health. Regular teeth whitening, in conjunction with other dental practices, helps to maintain a healthy and vibrant smile. Whitening treatments can motivate you to maintain better oral hygiene habits, such as brushing and flossing regularly. When performed professionally, teeth whitening often includes a thorough cleaning and assessment of your teeth, helping to identify any underlying dental issues. Regular dental checkups and cleanings, combined with whitening, can significantly reduce the risk of dental problems and maintain overall oral health. Whitening improves overall care and can also catch potential problems before they begin.
Early Detection of Dental Issues
Teeth whitening, when performed by a dentist, allows for early detection of dental issues. During the consultation and treatment process, dentists can assess the health of your teeth and gums. This allows them to identify potential problems, such as cavities, gum disease, or other oral health concerns, before they become more serious. Early detection leads to timely treatment, which can prevent more extensive and costly dental procedures. The dentist can evaluate the overall health of your teeth and mouth. Make sure to have regular check-ups so your dentist can take care of your overall dental health.
