Are you looking to brighten your smile in Kissimmee? Teeth whitening has become a popular cosmetic procedure, and with good reason. A dazzling white smile can boost your confidence and leave a lasting positive impression. However, navigating the world of teeth whitening can be tricky. This article reveals the top 5 secrets to achieving a brighter smile in Kissimmee, helping you make informed decisions and get the best results. Whether you’re a local resident or just visiting Old Town Kissimmee, these secrets will guide you toward a radiant and healthy smile.
Top 5 Teeth Whitening Secrets for Kissimmee
Secret 1 Understanding Teeth Whitening Options
The first step to a brighter smile is understanding the various teeth whitening options available in Kissimmee. This includes both in-office professional treatments and at-home kits. In-office treatments are typically more potent and provide immediate results, while at-home kits offer convenience and affordability. Knowing the pros and cons of each option is crucial for selecting the method that aligns with your needs, budget, and desired outcome. Consulting with a dental professional will help you understand which methods are best suited for your teeth.
In-Office Whitening vs. At-Home Kits

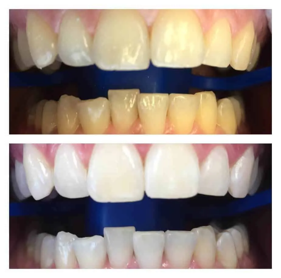
In-office whitening involves professional application of high-concentration bleaching agents under controlled conditions. This method usually delivers dramatic results in a single session, making it ideal for those seeking quick and noticeable improvements. At-home kits, on the other hand, typically use lower concentrations of bleaching agents and require multiple applications over a few weeks. These kits include whitening strips, trays, and toothpastes. While at-home kits are more budget-friendly, the results might not be as dramatic or as fast as in-office treatments. Consider your lifestyle and desired outcome when deciding between these two options. Image of teeth whitening in Kissimmee options.
Secret 2 Preparing Your Teeth for Whitening
Before undergoing any teeth whitening treatment, it’s essential to prepare your teeth properly. This involves addressing any existing dental issues and ensuring your teeth are in optimal condition. Proper preparation can enhance the effectiveness of the whitening process and minimize potential side effects such as tooth sensitivity. Additionally, consulting a dentist is crucial for a comprehensive assessment of your oral health and to determine the suitability of teeth whitening for you.
Consulting with a Dentist
A consultation with a dentist is the most important step. Your dentist can assess your teeth for any underlying issues like cavities, gum disease, or existing dental work that might affect the whitening process. They can also provide personalized recommendations based on your unique needs and oral health status. This consultation ensures that you choose the safest and most effective whitening method, while addressing potential problems before they arise. During the consultation, the dentist will discuss your expectations and the possible outcomes. Image of dentist consultation for teeth whitening.
Dental Cleaning Before Whitening

Professional dental cleaning is another crucial part of preparing for teeth whitening. A thorough cleaning removes plaque, tartar, and surface stains that can hinder the whitening process. Cleaning your teeth will allow the whitening agents to effectively penetrate the enamel, yielding better and more uniform results. The cleaning will also help your dentist to identify any underlying issues that need to be addressed before whitening. A clean canvas is essential for achieving the best outcome in any whitening treatment.
Secret 3 Choosing the Right Whitening Method
Selecting the right teeth whitening method depends on several factors, including your budget, the severity of staining, and your desired level of whiteness. Consider the different methods available, from professional treatments to over-the-counter products, and weigh their pros and cons to make an informed decision. Researching different options and consulting with your dentist will help you find the most suitable approach for your specific needs. Keep in mind, that not all whitening methods are suitable for everyone.
Professional Whitening Techniques
Professional teeth whitening methods, often performed in a dental office in Kissimmee, involve the use of powerful bleaching agents and advanced techniques. These treatments can lighten your teeth several shades in a single session, and they’re a great option if you’re seeking dramatic results. In-office whitening often includes isolating the teeth, applying the whitening solution, and using a special light or laser to accelerate the process. This provides a safe and effective way to achieve a brilliant smile under the supervision of an experienced dental professional. Image of in office teeth whitening treatment.
Over-the-Counter Products

Over-the-counter teeth whitening products are readily available at most drugstores and supermarkets in Kissimmee. These products, such as whitening strips, toothpastes, and gels, offer a convenient and affordable way to brighten your smile at home. However, these products typically contain lower concentrations of bleaching agents, so the results might be less dramatic and take longer to appear. When using over-the-counter products, it’s important to follow the instructions carefully to avoid any potential risks or complications, such as increased tooth sensitivity. It’s always a good idea to consult your dentist before starting any at-home whitening treatment. Image of at-home teeth whitening kits.
Secret 4 Maintaining Your Bright Smile
Once you’ve achieved your desired level of whiteness, maintaining your bright smile is essential. This involves adopting good oral hygiene practices and making lifestyle choices that minimize staining. Following these recommendations will help you to extend the lifespan of your whitening results and keep your teeth looking their best for years to come. Remember that maintenance is key to enjoying a lasting, dazzling smile.
Post-Whitening Care Tips
After teeth whitening, proper care is essential to protect your investment and maintain your results. This includes brushing your teeth twice a day with a whitening toothpaste, flossing daily, and attending regular dental check-ups and cleanings. It’s also advisable to use a sensitive toothpaste if you experience any tooth sensitivity after the whitening treatment. Following these tips can keep your teeth healthy and white for a long time. In addition to the daily routine, dentists may recommend the use of touch-up whitening treatments.
Avoiding Stain-Causing Foods and Drinks

Certain foods and drinks can stain your teeth, negating the effects of whitening. To maintain your bright smile, it’s important to limit your consumption of these staining agents. Examples include coffee, tea, red wine, dark sodas, and foods with intense pigments, such as berries and curries. If you consume these items, it’s advisable to brush your teeth shortly afterward or rinse your mouth with water to minimize staining. Avoiding tobacco products is also very important, as they are notorious for staining teeth. Image of avoiding staining food and drinks.
Secret 5 Finding the Best Teeth Whitening in Kissimmee
Choosing the right dental professional for your teeth whitening needs is a crucial part of the process. Researching local dentists and clinics in Kissimmee, Old Town, and the surrounding areas can ensure that you receive high-quality care. Consider factors such as experience, qualifications, patient reviews, and the range of services offered. Taking the time to find a reputable and experienced dentist can significantly impact the results of your whitening treatment and your overall satisfaction.
Researching Local Dentists and Clinics
When researching dentists and clinics in Kissimmee, start by gathering information about their experience, qualifications, and the specific teeth whitening services they offer. You can use online search engines, review sites, and social media platforms to find potential providers. Look for dentists who have a good reputation, a proven track record, and use the latest teeth whitening techniques. Check if the clinics offer a variety of whitening options and are equipped with modern dental technology. Also, check out their websites to get a good idea of what to expect when you visit their practice.
Reading Reviews and Checking Credentials

Reading patient reviews can provide valuable insights into the quality of care and the overall patient experience at a particular dental practice. Pay attention to what patients say about the dentist’s expertise, the clinic’s atmosphere, and the results of their teeth whitening treatments. Also, verify the dentist’s credentials and ensure they are licensed and certified to practice in Florida. This information can often be found on the dentist’s website or by contacting the Florida Board of Dentistry. Choosing a dentist with positive reviews and verified credentials is essential for ensuring a successful teeth whitening experience. Image of dentist’s review.
In conclusion, achieving a brighter smile in Kissimmee involves understanding your options, preparing your teeth, selecting the right whitening method, maintaining your results, and choosing a reputable dental professional. By following these top 5 secrets, you can confidently embark on your teeth whitening journey and enjoy a radiant, confident smile. Don’t hesitate to consult with a dentist in Old Town Kissimmee to get personalized advice and start your path toward a brighter, more beautiful smile today.
