Understanding Teeth Whitening Frequency
Teeth whitening is a popular cosmetic dental procedure that can significantly enhance your smile. However, achieving and maintaining a bright, white smile requires careful consideration of how often you undergo the whitening process. The ideal frequency of teeth whitening varies depending on several factors, including the method used, your lifestyle, and your oral health. Over-whitening can lead to tooth sensitivity and enamel damage, while infrequent treatments may not deliver the desired results. Understanding the appropriate intervals ensures you achieve the best possible outcome safely and effectively. This guide will explore the key aspects of teeth whitening frequency, providing you with valuable insights to make informed decisions about your oral care routine and maintain a radiant smile. Proper frequency is key to balancing the benefits of a brighter smile with the need to protect your teeth’s health.
Factors Influencing Whitening Intervals
Several factors influence how often you should whiten your teeth. Your lifestyle plays a crucial role. If you regularly consume staining substances such as coffee, tea, red wine, or tobacco, your teeth may discolor more quickly, necessitating more frequent treatments. Conversely, individuals with a diet low in staining agents may experience longer-lasting results. Your natural tooth enamel also matters; some people have naturally thicker enamel that is more resistant to staining. Another consideration is the type of whitening method you choose. Professional treatments offer immediate and dramatic results but typically require less frequent maintenance compared to at-home methods. Finally, the condition of your oral health is essential. People with existing dental issues such as cavities or gum disease should address these problems before considering teeth whitening. Consulting your dentist ensures that any underlying issues are resolved, and the whitening process is safe and effective.
Whitening Method Impact

The method you choose for teeth whitening significantly impacts the frequency of treatments. Professional whitening, performed by a dentist, often yields immediate and more dramatic results. Due to the high concentration of whitening agents used, these treatments typically last longer, and you may only need to repeat them every six months to a year, or even less frequently, depending on your lifestyle and oral habits. At-home whitening kits, on the other hand, use lower concentrations of bleaching agents and may require more frequent application to maintain your desired shade. These kits usually involve custom-fitted trays and can be used for a set period each day or night, for several weeks. The frequency depends on the specific product and the degree of staining. It is always advisable to follow the instructions provided with your chosen whitening method carefully to avoid any adverse effects and to maximize results.
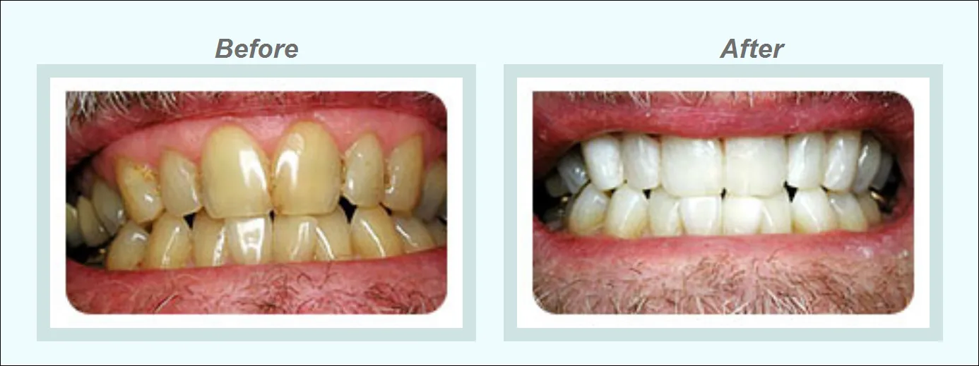
Professional Whitening
Professional teeth whitening offers the most immediate and noticeable results, making it a popular choice for those seeking a quick smile transformation. Dentists use a higher concentration of bleaching agents, often combined with special light or laser activation, to accelerate the whitening process. This typically involves a series of in-office treatments, with each session lasting about an hour. The frequency of professional whitening sessions depends on individual needs and lifestyle. Generally, you can expect to repeat this process every six months to a year, or as recommended by your dentist. This longer interval is because the professional-grade treatments penetrate deeper into the enamel, providing more sustained results. Regular dental check-ups and professional cleanings can help maintain the brightness and overall health of your teeth, extending the time between whitening sessions. Your dentist will evaluate your oral health and advise on the most appropriate frequency based on your unique circumstances.
At-Home Whitening
At-home teeth whitening kits provide a convenient and more affordable option for brightening your smile. These kits typically include custom-fitted trays and whitening gels or strips containing lower concentrations of bleaching agents. The frequency of use varies based on the specific product and the severity of your staining. It’s crucial to follow the manufacturer’s instructions and the recommendations of your dentist. Generally, at-home whitening treatments are applied daily for a set period, ranging from a few days to several weeks. After completing the initial treatment, you may need to perform maintenance whitening every few months to keep your teeth looking their best. Overuse of at-home whitening products can lead to tooth sensitivity and gum irritation, so moderation and adherence to instructions are essential for safe and effective results. Consistent oral hygiene and regular dental check-ups complement at-home whitening efforts.
Maintenance and Aftercare

Proper maintenance and aftercare are crucial for extending the results of your teeth whitening treatments. Following the whitening procedure, you should avoid consuming foods and beverages known to cause staining, such as coffee, tea, red wine, and dark-colored sauces, for at least a week. Smoking should also be avoided, as it can rapidly diminish the whitening effects. Regularly brushing your teeth twice a day with a whitening toothpaste can help remove surface stains and maintain brightness. Using a straw when drinking staining beverages can also minimize contact with your teeth. Consider incorporating a mouthwash designed to protect against stains into your routine. Regular dental check-ups and professional cleanings are also essential for maintaining your bright smile. Your dentist can provide further guidance on maintaining your results and recommend additional maintenance treatments if necessary.
Tips for Extended Results
To extend the life of your teeth whitening results, several lifestyle adjustments and habits are key. Minimizing your consumption of staining foods and beverages is a primary step. If you do consume these items, rinse your mouth with water immediately afterward to reduce staining. Regular and thorough oral hygiene is also critical. Brush your teeth at least twice a day for two minutes each time, and floss daily to remove plaque and food particles that can contribute to discoloration. Using a whitening toothpaste can help maintain brightness. Consider using an at-home whitening touch-up kit periodically to refresh your results. If you smoke, consider quitting, as tobacco use dramatically diminishes the effects of teeth whitening. Regular dental check-ups and professional cleanings are also essential for maintaining your bright smile and addressing any new stains promptly. Staying consistent with these practices will help you enjoy your whitened teeth for longer.
Oral Hygiene Routine
A consistent and effective oral hygiene routine is fundamental to maintaining white teeth and overall oral health. Brushing your teeth twice a day for two minutes each time is the cornerstone of a good routine. Use a soft-bristled toothbrush and fluoride toothpaste to gently remove plaque and surface stains. Flossing daily is also critical, as it removes food particles and plaque from between your teeth and along the gum line, areas that your toothbrush can’t reach. Consider using an antimicrobial mouthwash to further reduce bacteria and freshen your breath. In addition to these daily practices, regular dental check-ups and professional cleanings are essential. Your dentist can remove plaque and tartar buildup that you can’t remove at home, and also detect and treat any potential dental issues early. Following a consistent oral hygiene routine maximizes the benefits of teeth whitening and helps keep your smile bright and healthy.
Dietary Considerations

Your diet plays a significant role in both the effectiveness and longevity of teeth whitening treatments. Certain foods and drinks are notorious for staining teeth. These include coffee, tea, red wine, dark-colored sodas, and berries. Minimize your intake of these items or consume them in moderation. When you do consume staining substances, rinse your mouth with water or brush your teeth afterward to reduce the impact. A diet rich in fruits and vegetables, especially those with high water content, can help naturally clean your teeth. Crunchy fruits and vegetables like apples and carrots act as natural abrasives, helping to remove surface stains. Incorporate calcium-rich foods like dairy products or fortified alternatives, as calcium strengthens your enamel and makes it more resistant to staining. By making conscious dietary choices, you can significantly extend the results of your teeth whitening and maintain a brighter, healthier smile.
When to Consult a Dentist
Consulting your dentist is essential to determine the optimal teeth whitening frequency and ensure the safety and effectiveness of the process. Your dentist can assess your oral health, identify any existing dental issues like cavities or gum disease, and recommend the most appropriate whitening method for your specific needs. They can also advise you on the ideal frequency based on your lifestyle, dietary habits, and the type of treatment you choose. If you experience any sensitivity or discomfort during or after teeth whitening, it’s crucial to consult your dentist immediately. They can help determine the cause and recommend appropriate solutions. Regular dental check-ups and professional cleanings are also essential for maintaining your bright smile. Your dentist can provide ongoing guidance and support to help you achieve and maintain a healthy, beautiful smile safely and effectively. Always follow your dentist’s recommendations for optimal results and oral health.
