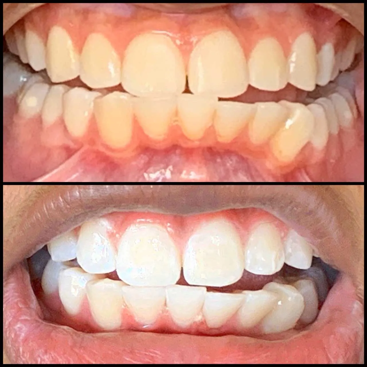
The Best Teeth Whitening California Secrets
Achieving a dazzling, bright smile is a common goal for many Californians, and teeth whitening has become a popular cosmetic procedure. However, navigating the world of teeth whitening can be tricky, with numerous options and conflicting information. This article reveals the top 5 secrets to successful teeth whitening in California, ensuring you achieve the radiant smile you’ve always dreamed of. From understanding the causes of teeth staining to maintaining your results, these secrets provide a comprehensive guide to teeth whitening, helping you make informed decisions and get the best possible outcome. Whether you’re considering professional treatments or at-home solutions, these secrets will empower you with the knowledge you need to achieve and maintain a brighter, more confident smile.
Secret 1 Understanding Teeth Staining
Before embarking on any teeth whitening journey, it’s crucial to understand the causes of teeth staining. Stains can be broadly categorized into two types: extrinsic and intrinsic. Extrinsic stains affect the surface of the tooth, caused by food, drinks, and habits. Intrinsic stains, on the other hand, originate from within the tooth structure, often due to aging, medications, or trauma. Knowing the type of stain you have can help you choose the most effective whitening method. This understanding also allows for a more targeted approach to stain prevention, ensuring that your whitening efforts are maximized. Furthermore, recognizing the underlying causes of discoloration helps in setting realistic expectations for the whitening process and choosing the most appropriate treatment plan.
Foods and Drinks to Avoid

Certain foods and drinks are notorious for staining teeth. Coffee, tea, red wine, and dark-colored sodas contain pigments that can easily adhere to the enamel, leading to discoloration over time. Similarly, highly pigmented foods such as berries, curries, and soy sauce can contribute to staining. Minimizing the consumption of these items, or rinsing your mouth with water after consuming them, can significantly reduce the likelihood of staining. Being mindful of your dietary choices is a proactive step in maintaining a bright smile. For those who find it challenging to eliminate these items entirely, consider using a straw to minimize contact with teeth and brushing or rinsing soon after consumption.
Smoking and Tobacco Use
Smoking and the use of other tobacco products are major contributors to teeth staining. The nicotine and tar present in tobacco not only cause yellowing of the teeth but also increase the risk of gum disease and other oral health problems. Quitting smoking is one of the best things you can do for your overall health, including your smile. If you are a smoker and considering teeth whitening, it is recommended to quit smoking before or during the whitening process to achieve the best results and prevent future staining. Professional teeth whitening treatments may still be effective, but maintaining the results can be challenging without quitting tobacco use. Consult with your dentist for resources and support to help you quit smoking.
Secret 2 Choosing the Right Whitening Method
The teeth whitening market offers a variety of options, each with its own set of advantages and disadvantages. The best method for you will depend on your budget, the severity of your staining, and your personal preferences. It is important to consult with a dentist to determine the most appropriate treatment for your individual needs. Professional treatments offer the most dramatic results, while at-home kits provide more convenience. Understanding these options is crucial for making an informed decision and achieving the desired level of brightness for your smile. Consider the cost, the time commitment, and the potential sensitivity associated with each method to ensure the best fit for your lifestyle and goals.
Professional Teeth Whitening Options

Professional teeth whitening, performed by a dentist in California, offers the most effective and fastest results. These treatments typically use higher concentrations of bleaching agents than at-home kits, providing dramatic whitening in a single visit. The dentist will apply a protective gel to your gums to prevent irritation and carefully monitor the process. Options include in-office bleaching, which can lighten your teeth several shades in about an hour. Another method is laser whitening, which uses a special light to activate the whitening agent, accelerating the process. These treatments are generally more expensive, but they provide the most predictable and significant results. Professional whitening is ideal for individuals seeking immediate and noticeable improvements in their smile.
At-Home Whitening Kits
At-home whitening kits offer a more convenient and cost-effective alternative to professional treatments. These kits typically include custom-fitted trays or strips filled with a bleaching agent that you apply to your teeth. While at-home kits are less potent than professional treatments, they can still produce noticeable results over several weeks. It’s important to follow the instructions carefully and consult with your dentist before use to ensure they are suitable for your specific needs and to avoid potential sensitivity. Over-the-counter whitening strips and toothpastes are readily available, but custom-fitted trays from a dentist provide the best fit and results. Remember that patience is key with at-home kits, as results are usually achieved gradually.
Secret 3 The Importance of Proper Oral Hygiene
Maintaining excellent oral hygiene is crucial for achieving and maintaining a bright smile. Proper brushing, flossing, and regular dental check-ups are essential for removing surface stains and preventing new ones from forming. A consistent oral hygiene routine not only enhances the effectiveness of teeth whitening treatments but also protects your overall oral health. Simple habits can make a significant difference in the long-term health and appearance of your teeth. Implementing these practices daily can greatly contribute to a brighter smile and improve your overall dental wellness, ensuring that your teeth remain healthy and vibrant for years to come. This proactive approach is key to maximizing the benefits of any teeth whitening efforts.
Brushing Techniques

Proper brushing is fundamental to maintaining a healthy and bright smile. Use a soft-bristled toothbrush and brush your teeth at least twice a day for two minutes each time. Employ a gentle circular motion, ensuring you reach all surfaces of your teeth, including the front, back, and chewing surfaces. Proper brushing helps remove plaque and surface stains, preventing the buildup of bacteria that can lead to discoloration and other oral health issues. Consider using an electric toothbrush, which can be more effective at removing plaque and improving your brushing technique. Additionally, replace your toothbrush every three months or sooner if the bristles become frayed. Consistent and correct brushing is a foundational element of any teeth whitening strategy.
Flossing Habits
Flossing is just as important as brushing, as it removes food particles and plaque from between your teeth and along the gumline, areas that your toothbrush can’t reach. Flossing daily helps prevent the buildup of plaque, which can lead to tooth decay and gum disease, both of which can affect the appearance of your smile. Use about 18 inches of floss, wrapping it around your fingers and gently guiding it between your teeth. Use a clean section of floss for each tooth. Flossing helps maintain the health of your gums, which is essential for a bright, healthy smile. Incorporating flossing into your daily routine ensures that you are taking comprehensive care of your teeth and gums, contributing to the long-term success of any teeth whitening efforts.
Secret 4 Lifestyle Choices for a Bright Smile
Your lifestyle choices significantly impact the brightness and health of your teeth. Making conscious decisions about what you eat, drink, and how you care for your body can have a profound effect on your smile. From your diet to your hydration habits, these choices play a crucial role in preventing stains and maintaining the results of any teeth whitening treatments. By adopting a lifestyle that prioritizes oral health, you can enhance the effectiveness of teeth whitening and enjoy a naturally radiant smile for years to come. These simple yet impactful changes can significantly contribute to a brighter, healthier smile, complementing any teeth whitening treatments you choose.
Dietary Adjustments

As mentioned earlier, certain foods and drinks can stain teeth. Minimizing your intake of these items is a key step in maintaining a bright smile. Focus on consuming a diet rich in fruits, vegetables, and dairy products, which can promote healthy teeth. Crunchy fruits and vegetables, like apples and carrots, can naturally help clean your teeth as you eat them. Limiting sugary snacks and beverages can also reduce the risk of tooth decay, which can impact the overall appearance of your smile. Making these dietary adjustments contributes to both the appearance and the health of your teeth, supporting your efforts to achieve and maintain a brighter smile.
Hydration and its Benefits
Drinking plenty of water is essential for overall health, and it also benefits your teeth. Water helps rinse away food particles and bacteria, preventing the formation of plaque and the buildup of stains. Staying hydrated also stimulates saliva production, which naturally cleanses your mouth and helps neutralize acids. Drinking water after meals and snacks can help protect your teeth from staining and decay. Additionally, water helps to keep your gums healthy, which is vital for a bright smile. Making water your primary beverage choice is a simple yet powerful way to support both your oral health and the longevity of your teeth whitening results.
Secret 5 Maintaining Your Whitened Smile
Maintaining your whitened smile requires ongoing care and attention. Regular dental check-ups and touch-up treatments are essential for ensuring long-lasting results. By adopting these practices, you can enjoy a bright, confident smile for years to come. Consistent maintenance will not only preserve your results but also help to prevent any future staining or discoloration, allowing you to continue to shine brightly.
Regular Dental Check-ups

Regular dental check-ups and cleanings are crucial for maintaining a bright smile. Your dentist can professionally clean your teeth, removing plaque and surface stains that brushing and flossing may miss. They can also assess the health of your teeth and gums, identifying any potential issues early on. During your check-up, your dentist can provide advice and guidance on maintaining your whitened smile, recommending touch-up treatments or other strategies to prevent staining. Regular dental visits ensure that your smile remains healthy and vibrant, allowing you to enjoy the results of your teeth whitening efforts for a long time.
Touch-Up Treatments
Over time, your teeth may gradually lose some of their brightness. Touch-up treatments can help refresh your smile and maintain the results of your initial whitening procedure. Your dentist can recommend touch-up treatments based on your individual needs and the type of whitening you received. This could involve using at-home whitening kits for a few days or undergoing another professional whitening session. Touch-up treatments are a proactive measure to maintain your bright smile and prevent the gradual return of stains. Regular touch-ups, as recommended by your dentist, will help ensure that your teeth remain bright and your smile continues to shine.
