Teeth Whitening Before Implants Why It Matters
Embarking on the journey of dental implants is a significant step towards restoring your smile and oral health. But before you take that leap, have you considered the role of teeth whitening? Teeth whitening before implants isn’t just a cosmetic consideration; it’s a strategic one. The goal is to achieve a uniformly bright and aesthetically pleasing smile. Whitening your natural teeth beforehand allows your dentist to match the color of your new implants more accurately. This ensures that your restored smile blends seamlessly, providing you with a natural, confident look. Understanding the interplay between teeth whitening and dental implants is crucial for planning your treatment and achieving optimal results. The timing and methods of whitening can impact the overall outcome and longevity of your new smile. This is a critical element of any dental procedure to ensure you achieve the desired outcomes.
Understanding Dental Implants and Teeth Whitening
Dental implants are artificial tooth roots, typically made of titanium, that are surgically placed into the jawbone to support replacement teeth. These implants fuse with the bone, providing a stable and durable foundation for crowns, bridges, or dentures. Unlike natural teeth, dental implants are not susceptible to staining from food, drinks, or tobacco. However, the surrounding natural teeth can still be prone to discoloration. Teeth whitening is a cosmetic dental procedure that lightens the shade of your teeth, removing stains and discoloration. It works by using bleaching agents to break down the stain molecules, resulting in a brighter smile. Both procedures, though distinct, have a common goal improving the appearance and functionality of your teeth. Therefore, strategic planning is critical for a successful outcome.
The Importance of Timing

The timing of teeth whitening relative to your dental implant procedure is a critical aspect of achieving the best aesthetic outcome. Ideally, teeth whitening should be completed before the implant procedure. This is because the color of your natural teeth will be used to determine the shade of the crown that is attached to your implant. If you whiten your teeth after the implant is placed, the crown color will not match your newly whitened teeth. It’s essential to discuss the timing with your dentist, as they can provide a personalized plan based on your specific needs and the progress of your implant treatment. The timing ensures that your dentist can effectively match the color, creating a seamless and natural appearance for your new smile. Proper planning helps to avoid any potential aesthetic mismatches.
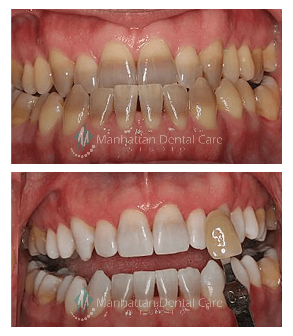
When to Whiten Before Implants
The optimal time to whiten your teeth is before the dental implant procedure begins. This allows your dentist to take accurate shade measurements of your natural teeth while they are at their brightest. Once your natural teeth have been whitened, your dentist can then select the appropriate shade for your implant crown, ensuring a perfect match. This proactive approach helps avoid the common scenario of a crown that appears darker than the surrounding teeth. Typically, you should aim to whiten your teeth as close to the implant procedure as possible, allowing the dentist to match the shade accurately. This timeframe usually involves completing the whitening process a few weeks or months before the placement of the implant to account for healing and other preparation stages. Coordinate with your dentist to develop a timeline that aligns with your individual treatment plan.
When to Whiten After Implants
Whitening your teeth after the implant procedure presents a challenge, as the implant crown will not change color in response to whitening treatments. This can result in a noticeable difference in shade between the natural teeth and the implant crown. If you still wish to whiten your teeth after the implant has been placed, your dentist may recommend whitening your natural teeth to the lightest shade possible while leaving the implant crown untouched. However, this approach can sometimes be ineffective, and it might result in an uneven appearance. In certain situations, the dentist might suggest replacing the implant crown to match the newly whitened teeth. This is generally considered only if the aesthetic disparity is too significant. It is always best to discuss this matter with your dentist.
Impact on Implant Color Matching

The color matching process is critical for achieving a natural-looking smile after dental implants. Dentists use shade guides to determine the appropriate color for the implant crown, and this process is greatly aided when the surrounding natural teeth have been whitened. By whitening your teeth beforehand, the dentist can select a crown shade that perfectly blends with your natural teeth. If the adjacent teeth are not whitened prior, the crown might appear darker, leading to an unnatural appearance. Therefore, pre-implant teeth whitening ensures that the implant crown matches the surrounding teeth, creating a harmonious and aesthetically pleasing result. The quality of the color match impacts the overall success of your implant and your satisfaction with the outcome, emphasizing the necessity of thoughtful planning and preparation.
Materials and Procedures
Professional teeth whitening involves the application of a bleaching agent, typically containing hydrogen peroxide or carbamide peroxide, to the teeth. The dentist can control the concentration of the bleaching agent and use special lights to accelerate the whitening process. The duration of the procedure varies depending on the chosen method and the desired outcome. For dental implants, the crown materials are usually porcelain or zirconia, both of which are highly durable and can be customized to match the shade of your natural teeth. The dentist will take impressions of your teeth, which are then sent to a dental laboratory where the crown is fabricated. The selection of materials and procedures is essential for achieving both the desired aesthetic results and the structural integrity of your new teeth. Make sure that your dental practice uses the best materials and processes.
Professional Teeth Whitening Options
Professional teeth whitening offers several benefits over at-home methods, including faster results, stronger whitening agents, and the expertise of a trained dental professional. In-office whitening treatments can lighten your teeth several shades in just one visit. The dentist will apply a high-concentration bleaching agent to your teeth, often in conjunction with a special light or laser to enhance the whitening effect. This option is ideal for those who want immediate and dramatic results. Another professional option is the dentist-supervised take-home kit. This method involves custom-fitted trays and a lower concentration of bleaching agent to be used at home for a set period. It allows for a more gradual whitening process, under the guidance of your dentist. Regardless of your choice, the dentist can ensure the safety and effectiveness of the procedure. Also, they can offer advice on how to address any issues.
At Home Teeth Whitening Methods

At-home teeth whitening methods offer convenience and affordability but may have limitations compared to professional treatments. Over-the-counter whitening products include strips, toothpastes, and gels that can be purchased without a prescription. These products typically contain lower concentrations of bleaching agents and may not produce the same dramatic results as professional treatments. Another option is custom-fitted whitening trays from your dentist, which offer better results compared to over-the-counter methods, as they provide a more accurate application of the whitening agent. While at-home methods can improve the appearance of your teeth, they are not always suitable for everyone, and the results may vary. It is crucial to read the instructions carefully and consult your dentist before starting any at-home whitening treatment, especially if you have sensitive teeth or other dental issues. Make sure to choose the right product and the process.
Potential Risks and Considerations
Teeth whitening, like any dental procedure, carries potential risks and considerations. The most common side effect is tooth sensitivity, which can occur during and after the treatment. Other risks include gum irritation and, in rare cases, changes to the tooth enamel. Individuals with existing dental issues, such as cavities or gum disease, should address these concerns before whitening their teeth. The effectiveness of teeth whitening can also be affected by factors such as the type of stains and the individual’s oral health. Always consult your dentist to assess your suitability for teeth whitening and to discuss the potential risks and benefits. They can guide you on how to minimize potential side effects and optimize your treatment for the best results. It’s always better to be safe than sorry, so consultation is key here.
Ensuring Long Term Success
Maintaining a bright smile after teeth whitening and dental implants requires diligent oral hygiene practices and regular dental checkups. Brushing your teeth twice a day with a fluoride toothpaste, flossing daily, and using an antibacterial mouthwash can help remove plaque and prevent staining. Avoid excessive consumption of stain-causing foods and drinks, such as coffee, tea, red wine, and dark-colored berries. Regular dental visits are essential for professional cleanings and examinations to ensure the longevity of your implants and the maintenance of your teeth’s whiteness. Follow your dentist’s recommendations for post-whitening care, which may include the use of a desensitizing toothpaste to reduce sensitivity and the avoidance of certain foods and drinks for a specified period. Proper maintenance will help you enjoy a beautiful and healthy smile for years to come.
Maintaining a Bright Smile Post Implants

To maintain a bright and healthy smile after your teeth whitening and implant procedure, it is critical to establish a consistent oral care routine. This routine includes regular brushing with a non-abrasive toothpaste, flossing, and the use of a mouthwash. Since implants themselves cannot be whitened, it is very important to maintain the color of your natural teeth. Routine dental check-ups and professional cleanings every six months are essential to remove plaque and prevent staining. Avoiding tobacco products and limiting the intake of staining foods and beverages, such as coffee, tea, and red wine, will also help. Consider using a whitening toothpaste or rinse to maintain the brightness of your natural teeth, but always consult with your dentist before changing your oral hygiene routine. The combination of professional care and daily diligence can help maintain the vibrant look of your smile.
